

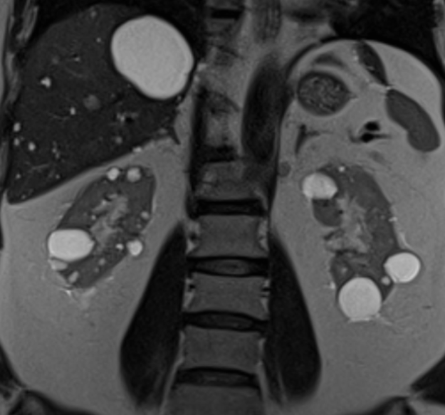
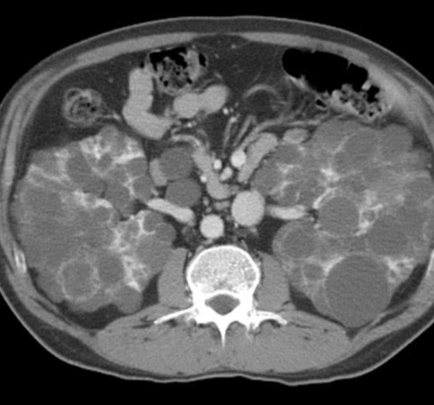
Simple and complex kidney cysts
Kidney cysts result from genetic or non-genetic processes. It can occur and affect children and in adults. It is usually diagnosed when a person goes for an ultrasound scan, CT scan or MRI scan of the abdomen. Kidney cysts can be divided to simple kidney cysts or complex kidney cysts. There is another condition where the kidney is filled with multiple kidney cysts which will be covered under cystic kidney disease.
The most common cause of these cysts are radiologically evident kidney cysts in adults are simple kidney cysts.







