

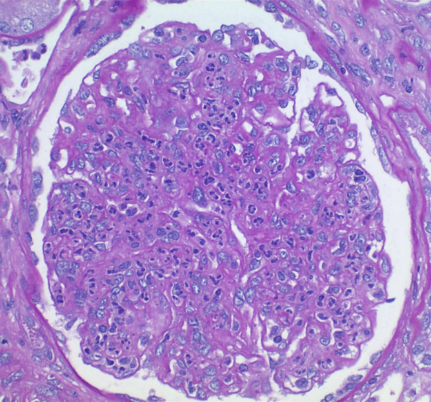
Diabetic kidney disease (DKD), also known as diabetic nephropathy, is a condition where the high blood sugar levels cause damage to the filtering system of the kidneys. High blood pressure can cause further kidney damage. This condition can be detected early by checking for urine protein leak, as only after 50% of the kidneys is damaged before the kidney function test is abnormal.




